美しくバランスのとれた歯並びと
口元を目指して
- 柏の葉キャンパス
駅より徒歩4分 - 矯正専門医
による治療 - オンライン診療
対応可能
当院では、生涯にわたり健康で美しい歯でいられること、そして地域の皆様に歯科治療を皆様と共に考えていきたいと思っております。
医院のあり方や患者さんに合わせた治療をスタッフ一同、共に考え皆様が通いやすく温かな医院となるよう日々努力して参ります。
永久歯が生え変わるまでの間のⅠ期治療と、生え替わり後のⅡ期治療までをセットで行います。
お子様の成長にあわせて、なるべく歯を抜かず、時期に適した治療をいたします。
当院ではお子様用の装置は、取り外しできるアライナーの装置のみを使用しており、インビザラインファーストなど、お子様用のマウスピース装置による治療もさまざまに取り入れております。
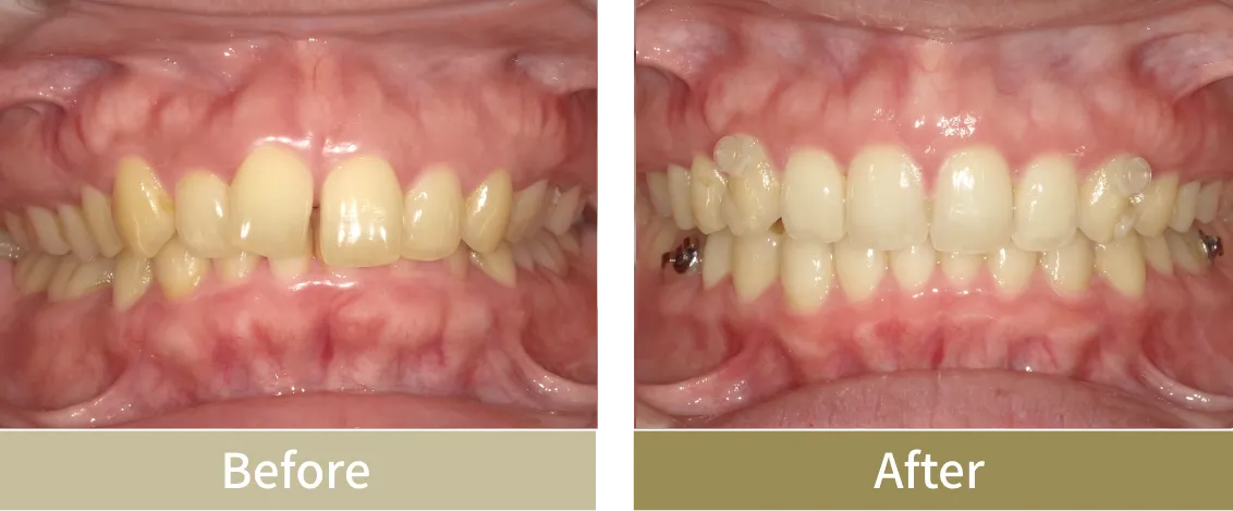
全て大人の歯に生え変わった中・高校生以降は大人の矯正治療になります。矯正専門医による質の高い治療を行います。他院では難しいと言われた場合でも、ぜひご相談くださいませ。また、症状によっては歯を抜かずに治療できる場合もあります。
装置は、一般的なメタルワイヤーはもちろん、マウスピース型矯正装置や、透明なホワイトワイヤーによる装置など、見た目の目立たない装置も取り扱っております。
もう高齢になってしまったから・・と歯の健康をあきらめてしまっておりませんか?人生100年時代に向け、ミドルエイジ、シニアの方の矯正治療にも力を入れております。
最近では技術の進歩により、難しい症例や高齢の方の矯正もできるケースが多くなってきております。
当院では高齢の方が歯列矯正治療により 健康的な“歯”生活を過ごす、 ウェルティーシング(Well-teething) プロジェクトに参加しております。
2010年に入局以来、抜歯・非抜歯治療、舌側(裏側)の矯正、部分的な矯正など、様々な患者様のニーズと向き合ってまいりました。よく話を聞いてみると、小学生のお子様の中にはご本人が歯並びをコンプレックスに感じている患者様もいます。成人の患者様の中には10年以上も気になっていたものの、いざ治療を決心するまでにかなりの時間を費やしていることが多いです。
歯並びの治療は1年以上の時間と自費診療ゆえの高額なお金がかかります。それゆえ敬遠されがちですが、1年後に同じことで悩んでいるくらいなら、思い切って矯正歯科を専門に行う歯科医師に相談してみませんか。歯並びの治療は自信につながる新しい一歩になるはずです。
矯正治療の視点から、小児矯正、成人矯正の垣根をとりのぞいた大きな観点で男女の歯並び治療をすすめるとともに、新しい技術を積極的に取り入れています。
矯正歯科クリニック 柏の葉
院長・日本矯正歯科学会認定医浅田 薫
矯正治療を二度経験。
一度目は中学生。非抜歯治療。痛みで泣く。
二度目は矯正科へ入局後、小臼歯を4本抜歯し、矯正用インプラントを先輩にうっていただき、矯正治療を体験。痛みに耐え、美を追求する気持ちが芽生える。
【より快適に治療期間を過ごせるよう、患者様一人ひとりのニーズに、誠意と思いやりをもって装置をご提案します】国内・国外の学会参加を通して経験を積んでいます(新しい技術を導入)
【小児矯正をした患者さんが将来ご自身のお子さんを連れて相談にきてくれるようなクリニックになれたらうれしいです】
的確な診断に基づいた治療を行いたいというのが矯正医としての考えの根底にあります。ドクター自身、自分が患者となり矯正を行った経験があることで、矯正中の不自由さや気恥ずかしさ、矯正中特有のつらさを熟知しているからです。
矯正を行うことは歯並び同様、一生もののお付き合いと考え、患者様を大事にして共に歩んで行くことを常に心がけます。





| 医院名 | 矯正歯科クリニック柏の葉 |
|---|---|
| 電話番号 | 04-7199-8465 |
| contact@ortho-clinic-kh.com | |
| 住所 | 〒277-0871 柏市若柴276番地1中央161街区1 KASHIWANOHA CLINIC MALL |
| 診療科目 | 小児矯正、成人矯正、マウスピース型装置の矯正 |
| 診療時間 | 完全予約制、急患対応別途承ります 月(不定期)・火・水 11:00~19:00 金 10:00~18:00 土 9:00~18:00 |
| 休診日 | 月(不定期にて診療)、木、日 |
つくばエクスプレス「柏の葉キャンパス」より徒歩4分
常磐自動車道 柏インターから千葉、柏方面へ、国道16号線よりすぐ
柏の葉三井のリパーク第四駐車場と提携しております。サービスチケットを配布しますので、ご来院の際に受付までお申し付けくださいませ。
>提携駐車場の場所はこちら
初診のご予約は、こちらの診療カレンダーにて、診療日、空いてる日時をご確認の上、「初診予約フォーム」よりいつでもお気軽にご予約下さい。また、お電話1本でもすぐにご予約を承りますので、お気軽にご連絡くださいませ。
お電話でのご予約はこちら
04-7199-8465
| 月(不定期)・火・水 | 11:00~19:00 |
|---|---|
| 金 | 10:00~18:00 |
| 土 | 9:00~18:00 |
| 月(第1週のみ診療)、 木、日 |
休診日 |