診療方針Concept

私たちが大切にしていること

  • 1適切な時期に、適切な治療を行います
    【小児矯正、10代成長期の矯正】
  • 2ライフステージに寄り沿った装置をご提案します
  • 【より快適に治療期間を過ごせるよう、患者様一人ひとりのニーズに、誠意と思いやりをもって装置をご提案します】国内・国外の学会参加を通して経験を積んでいます(新しい技術を導入)

  • 3地域の皆様の"かかりつけ医"を目指して、成長を続けます
  • 【小児矯正をした患者さんが将来ご自身のお子さんを連れて相談にきてくれるようなクリニックになれたらうれしいです】

女性ドクターの目線

女性ドクターの目線で、気配りを
大切にしています

院長が女性のクリニックとして相談しやすさを大事にしています。 歯の悩みはご本人にしか言い表せないこともあります。プロフェッショナルの目線で患者様が自信をもって笑えるように、治療のゴールを一緒に模索してまいります。

個室カウンセリング

個室カウンセリングルームで
治療計画をご説明

患者様一人一人のプライバシーを考慮し、じっくりとお話が出来るよう個室のカウンセリングルームにて、治療に関する方法や期間、患者さんの理解の確認に可能な限り時間を使いご説明致します。
ご相談も親身に承り、どのようなお悩みでも話しやすいような雰囲気、空間作りをさせて頂いております。

インフォームドコンセント

長い期間、患者様と共に歯の矯正治療をしていくにあたり、しっかりと治療や費用についてご理解、納得して頂いてから治療を開始いたします。

患者様の立場になり、常に寄り添った矯正治療を行っていくためには、ご本人のしっかりとした意志と、ご協力がとても大切になります。

そのためにも、これから行う治療がどのようなものなのか、しっかりと配慮を行った上で説明し、ご検討・納得をして頂きます。
治療を開始したあとも、今どんな進行状況なのか、ご不明点やお悩み、ご要望などについてもしっかりと対応しながら進めていきます。治療費に関しても治療開始前に明確な金額を提示いたします。

治療の特色について

  • メリット1

    1.矯正専門医による質の高い治療

    矯正を始める上で、矯正治療に関して適切かつ充分な学識と経験をもったドクターに診てもらうことはとても大切です。
    当院で治療を行う歯科医師は全員、日本矯正歯科学会専門医です。
    臨床経験・論文発表・試験の合格など厳しい審査に合格した歯科医師が治療にあたります。

  • メリット1

    2.オンライン診療で通院回数を最小限に

    専用アプリを使用し、矯正治療を遠隔で管理しています。「遠方なので通いにくい」「仕事や学校で忙しく予約を取りづらい」など、通院の負担を軽減するため、オンライン診療で治療経過をお互いで確認できます。
    ※使用する矯装置によっては来院が必須なものもございます。

  • メリット1

    3.型取り不要!お口の中をデジタルスキャン

    iTero elementという、お口の中を専用のデジタルスキャナーで3Dスキャンし、即時にパソコンへデジタルデータとして反映。治療計画時の詳細な資料として、マウスピース装置を作成する際の歯型の資料としてなど、矯正治療に必要な情報を、お口の中に一切触ることなく、快適に検査することができます。

  • メリット1

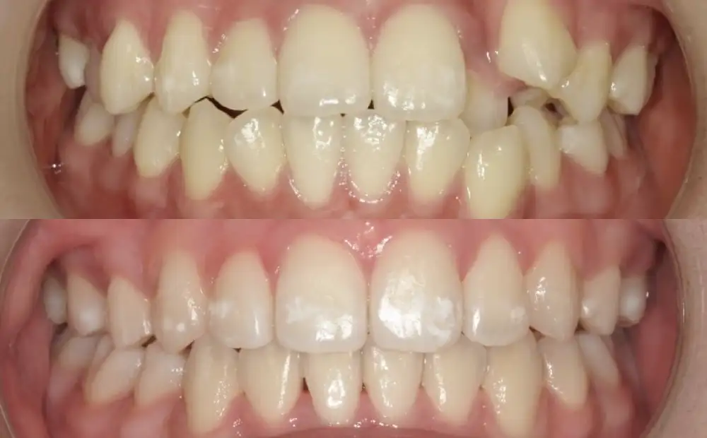
    4.小児から大人まで、マウスピース矯正の幅広い症例実績

    患者様にご満足いただけるよう、ドクターが誠心誠意これまでたくさんの治療を行ってまいりました。
    また、さまざまな装置を取り扱っており、現在、柏市内で、インビザライン、インビザライン・ファースト、ビベラリテーナーの3種類取り扱っている医院は当院のみになります

マウスピース矯正

マウスピース矯正

当院ではマウスピース型矯正装置による治療をご希望の患者様にとって、最適な治療環境を完備しております。

型取り不要のデジタルスキャナーによる歯型データの取得、3Dプリンターによる院内での装置作成などにより、治療期間を早め、来院回数も少ない治療を行うことができます。


デンタルモニタリングシステムの導入

スマホ専用のアプリで患者さまが撮影した写真をもとに、治療の進行状況をチェックする、AIを使った遠隔歯科診療ツールです。装置の脱離やむし歯・歯肉炎などの確認も行います。

デンタルモニタリング

小児矯正治療

小児矯正治療(Ⅰ期・Ⅱ期)

当院では、お子様が通いやすい雰囲気や治療環境作りに力を入れております。
お子様の成長にあわせて、なるべく歯を抜かず、時期に適した治療をしっかりと行います。
インビザラインファーストなど、お子様用のマウスピース装置による治療もさまざまに取り入れております。


MFTトレーニング

MFT(口腔筋機能療法)とは、お口のまわりのバランスを整えて鼻呼吸を促し、歯並びを乱す原因を取り除き、本来の歯並びを取り戻すことにつなげる療法です。

当院では毎週土曜日に予約制にて、お子さま向けにMFT教室を実施しております。

MFTトレーニング

設備や治療機器について

エアフロー

「エアフロー」虫歯、歯周病を徹底的に予防

専用のパウダーとクリーニング機器で、早期歯石、虫歯や歯周病の原因であるバイオフィルムを徹底的に除去します。
器具が直接歯に触れないほか、清掃に使うパウダーも粒子が非常に細かいため、歯面や歯茎、修復物の表面を傷つける心配がありません。

エアフローについて

レントゲン

低被爆で安心してできるCTレントゲン

従来のレントゲンでは分かりづらかった、目には見えない骨の幅、量、歯根の長さを治療前に診断することで、より患者様に合った満足度の高い治療方針を導き出します。

当院では、治療を開始するすべての患者様にレントゲンCT画像診断を行っています。


オフィスホワイトニング

最新のホワイトニングLED照射器

当院では最新のLED照射器を導入し、1度のご来院にて2回の施術で歯が白くなるオフィスホワイトニングを実施しております。
歯の全体に薬剤を塗布し、ハロゲンライト+LED光+超音波で10分前後照射。特殊なフィルターで紫外線や熱がカットされるので、安全で効果の高いホワイトニングを実感いただけます。
ホームホワイトニングとの併用でさらなる効果が期待できます。


3Dプリンターで装置を院内で作成

口腔内デジタルスキャナーでスキャンした歯型のデータをもとに、最新の3Dプリンターでマウスピース装置を院内で作成しております。

これにより、従来では多くの日数が必要だった装置の受け取りが、わずか数日で完成し、治療期間の短縮につながっております。

作成工程の動画
3dプリンター

院内の徹底した感染対策

基本の感染対策を徹底

スタッフ全員に「手洗い・うがい・手指消毒・マスク・グローブ・フェイスシールドの着用」を徹底。 治療ユニットの清掃とともに患者様ごとに消毒や 交換を行なっています。

器具の滅菌・衛生管理

医療機器専用の滅菌器で念入りに洗浄し、患者様ごとに使用します。滅菌ができないものは使い捨てを使用します。

院内空間の除菌・換気・加湿

受付・診療室ともに次亜塩素酸清浄機・超音波噴霧器を使用した空間除菌を行い、室内が乾燥しないよう常に換気・加湿も行っています。

口腔外バキューム

各ユニットに【口腔外バキューム】を設置

矯正治療は、一般的な歯科治療に比べて飛沫の少ない治療ですが、飛沫のある処置をする際は、口腔外バキュームを使用しています。 感染性物質を吸引することで、感染予防対策としても有効です!!
有効性は厚生労働省にも認められています。 この口腔外バキュームは自由自在に曲げたり動かす事が出来るのでお口のすぐそばで吸引することが出来ます。

treatment 治療全般の流れ

Step1[初診]患者様へのヒアリング

矯正をはじめるにあたり、患者様のご要望や、どのような治療が必要かをヒアリングします。

オンラインの場合は、アプリ内でビデオチャットを起動し、診察を開始します。

Step2精密検査

口腔内検査・レントゲン撮影・口腔内写真撮影などの精密検査を行います。

オンライン診療では画面越しにドクターがお口の中を拝見します。
(スマホの前でご自身の中指と人差し指で口唇を拡げて頂きます)

Step3治療計画の説明

精密検査の診断結果をもとに、どんな治療をどのくらいの期間で行うか、費用なども交えて治療計画の説明をいたします。

Step4治療の開始

治療の内容、費用に関して十分にご理解、納得頂きましたら、治療の開始となります。

Step5治療中~定期チェック

1ヶ月~3ヶ月ごとに矯正の進み具合をドクターがチェックします。これを治療の完了まで繰り返します。

Step6アフターメンテナンス~治療完了

歯がしっかり揃ってきたら、矯正装置を外します。歯のもどりを防ぐために保定装置をつけてアフターメンテナンスをいたします(保定期間)。期間終了後、歯の最終チェックをして治療完了となります。

初診のご予約はこちら!
ぜひお気軽にご相談ください

初診のご予約は、こちらの診療カレンダーにて、診療日、空いてる日時をご確認の上、「初診予約フォーム」よりいつでもお気軽にご予約下さい。また、お電話1本でもすぐにご予約を承りますので、お気軽にご連絡くださいませ。

初診(来院)予約 診療内容→お好きな日時→ご連絡先入力でご予約完了!

オンライン診療 オンライン診療のご利用もできます。

お電話でのご予約はこちら
04-7199-8465

月(不定期)・火・水 11:00~19:00
10:00~18:00
9:00~18:00
月(第1週のみ診療)、
木、日
休診日
トップへもどる