お子様の治療例
インビザラインファースト
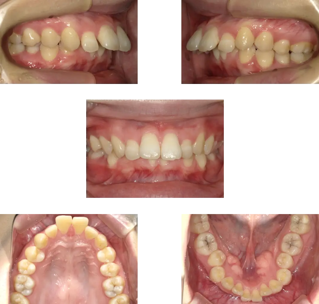
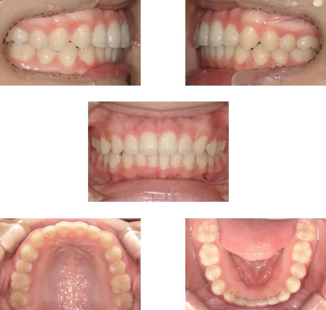
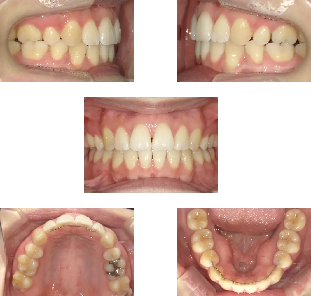
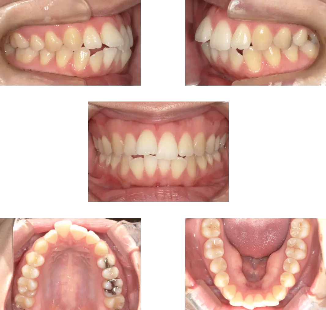
上顎前突 -7歳-
Before
After
- 診断
- 過蓋咬合を伴う重度骨格性上顎前突
- 治療期間
- 2年+保定期間2年
- 抜歯
- なし
- 料金
- 600,000+550,000円(調整料を含む。2期開始時分析料別途発生)
- リスク
- 痛み、軽度の歯根吸収、術後の変化
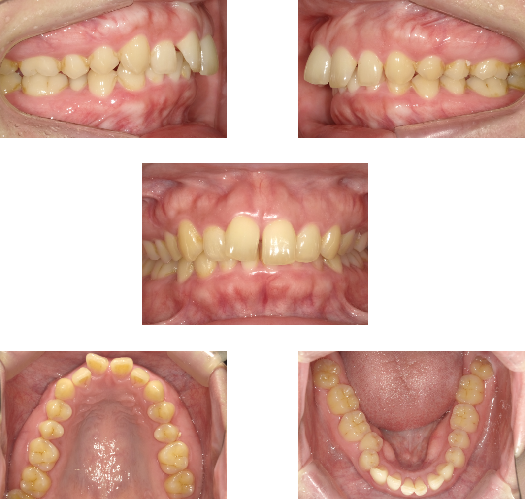
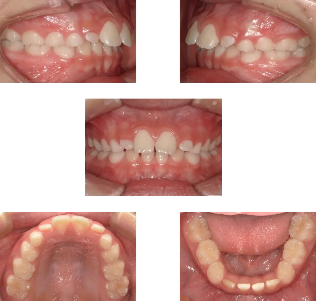
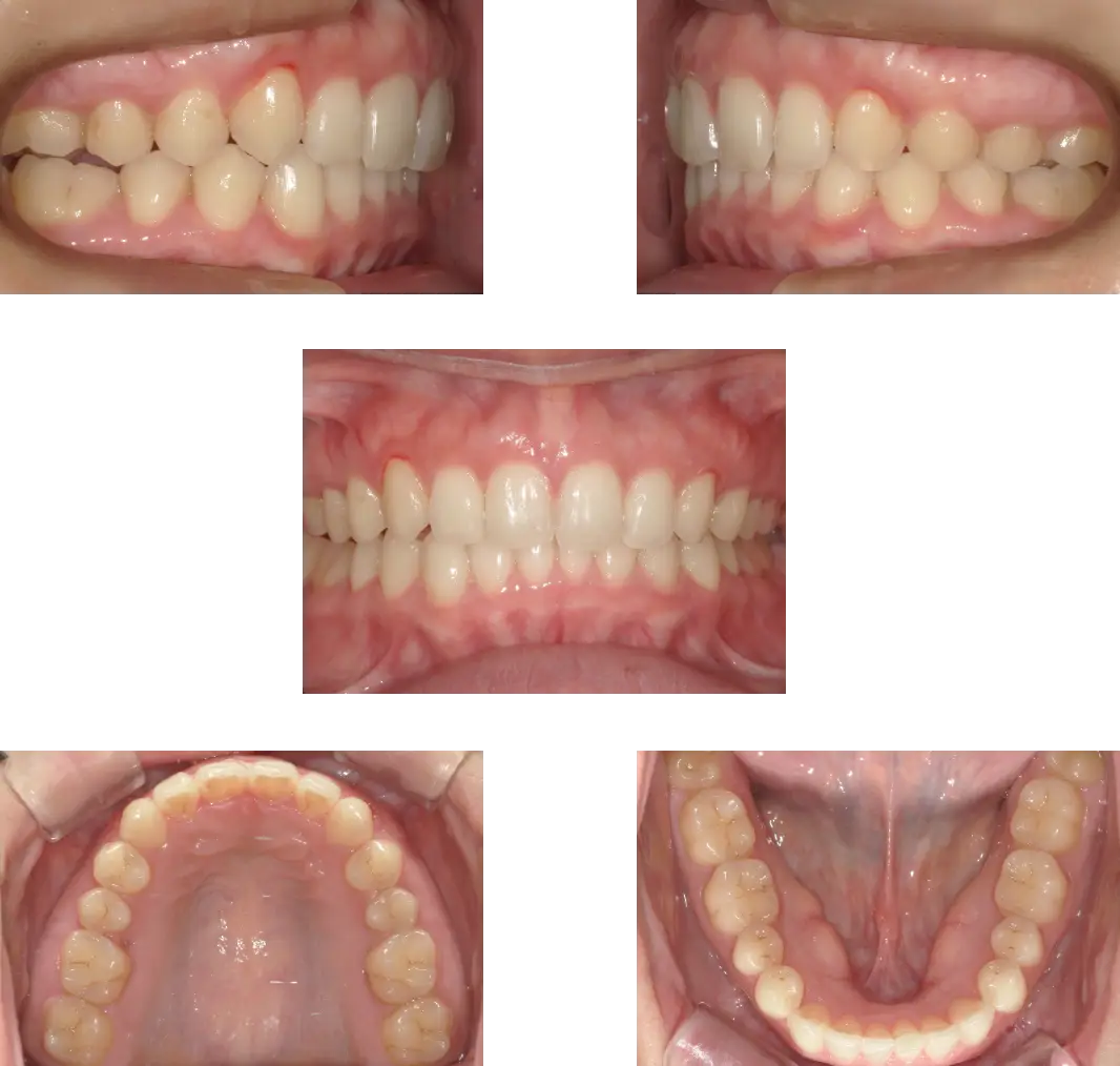
下顎前突 -7歳-
Before
After
- 診断
- 下顎前方成長、前方位、下顎叢生
- 治療期間
- 1年6ヶ月+保定期間1年6ヶ月
- 抜歯
- なし
- 料金
- 600,000+550,000円(調整料を含む。2期開始時分析料別途発生)
- リスク
- 痛み、軽度の歯根吸収、術後の変化
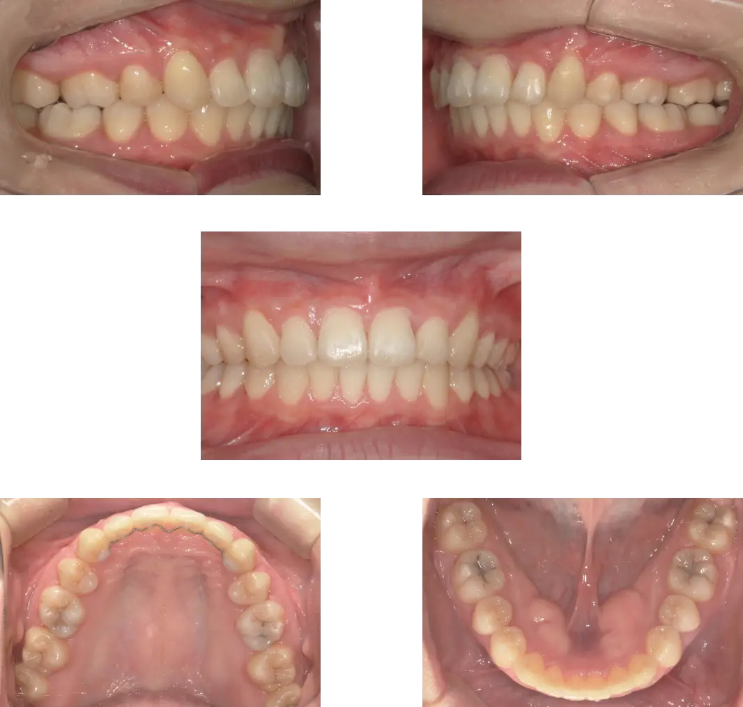
10代(非抜歯)の治療例
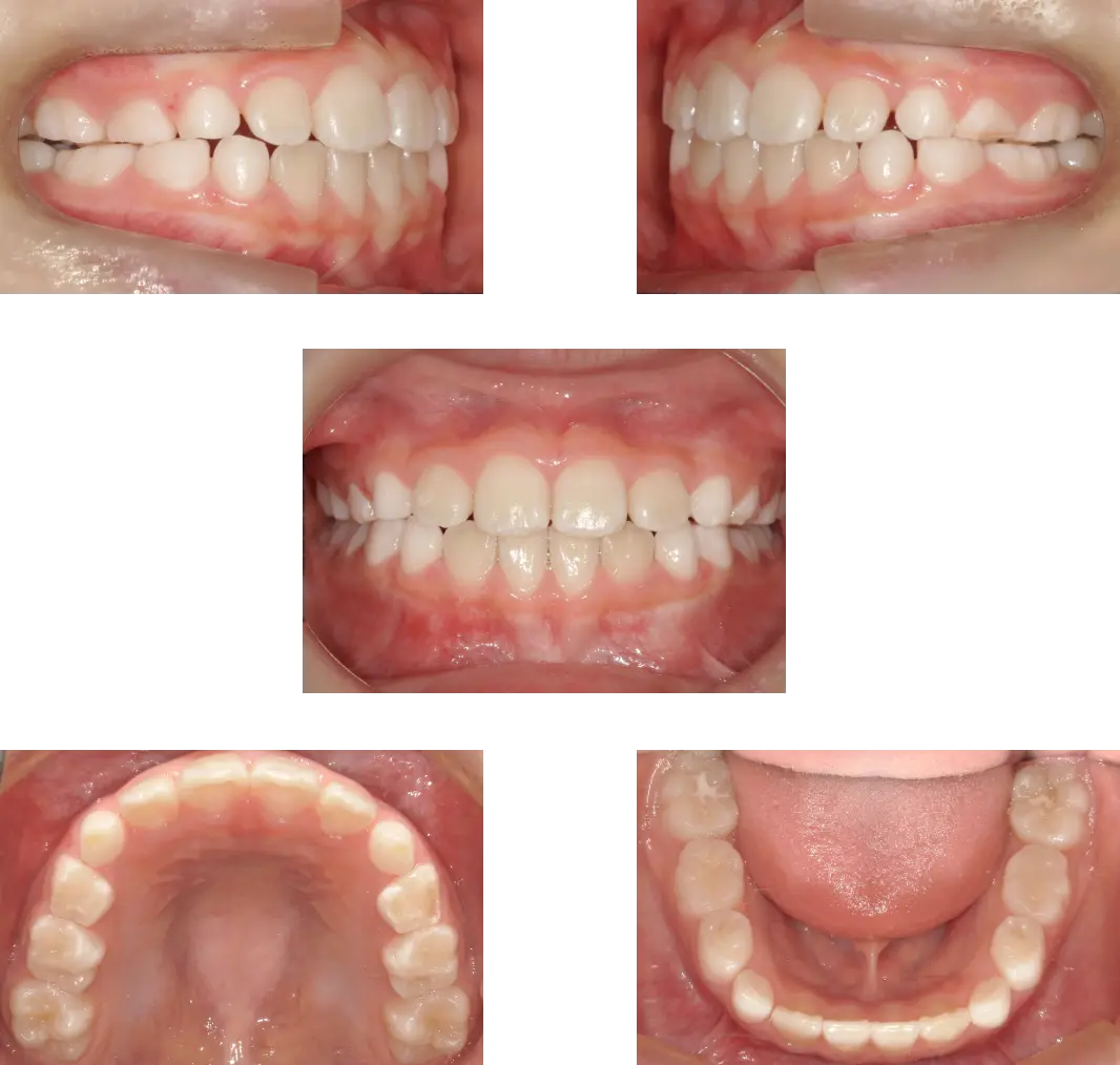
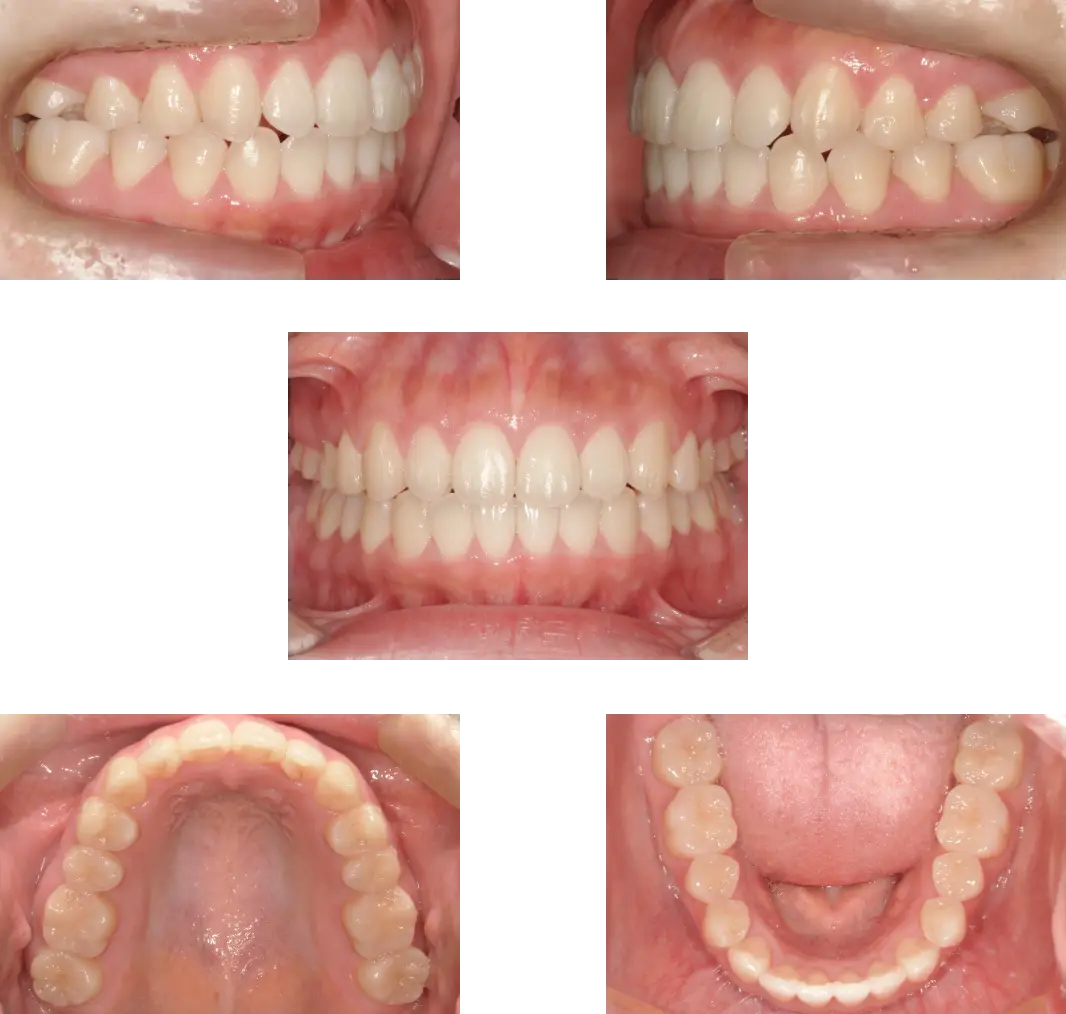
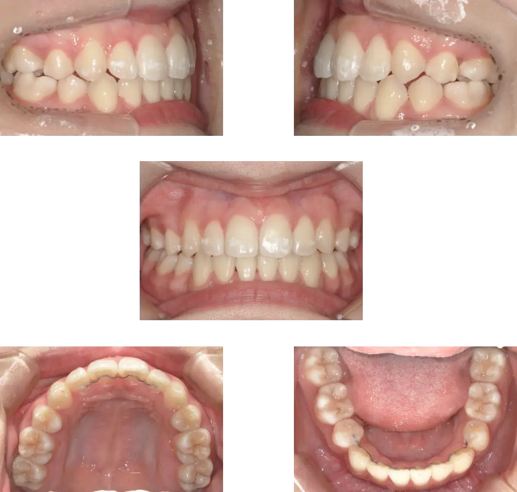
上顎前突 -14歳-
Before
After
- 診断
- 上顎前歯舌側傾斜、下顎前歯唇側傾斜を伴う骨格性2級過蓋咬合
- 治療期間
- 1年6ヶ月+保定期間1年6ヶ月
- 料金
- 1,100,000円
- 抜歯
- なし
- リスク
- 痛み、軽度の歯根吸収、術後の変化
10代(抜歯)の治療例
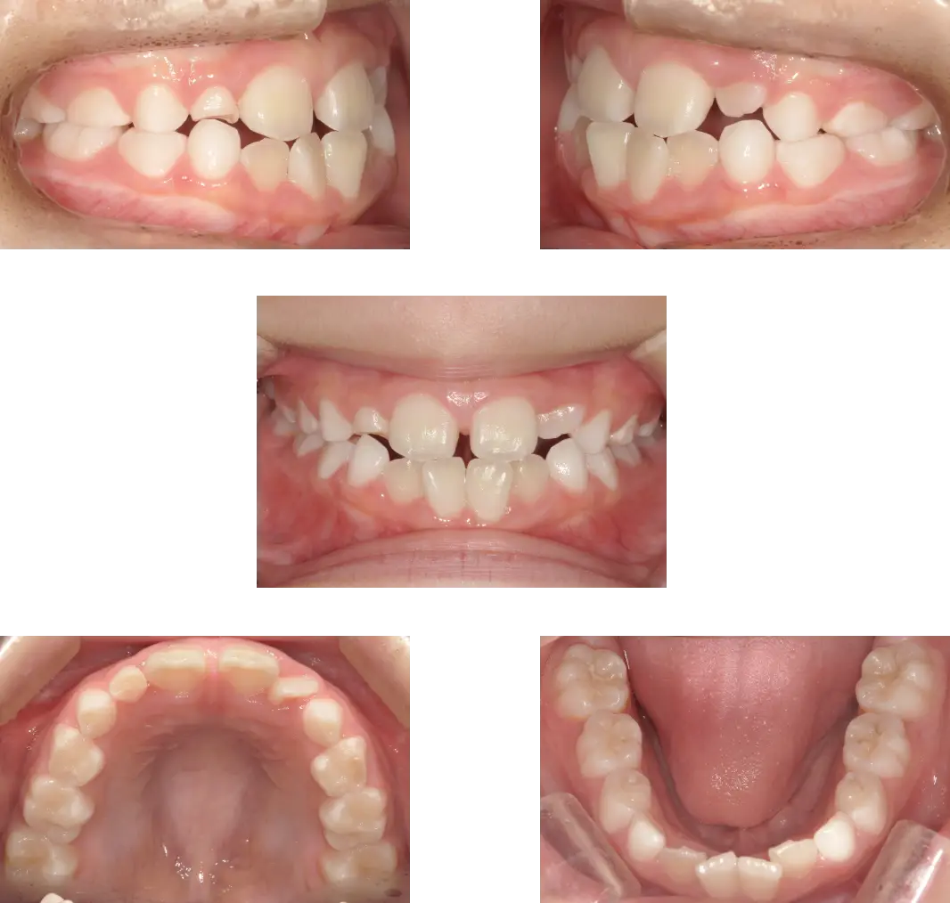
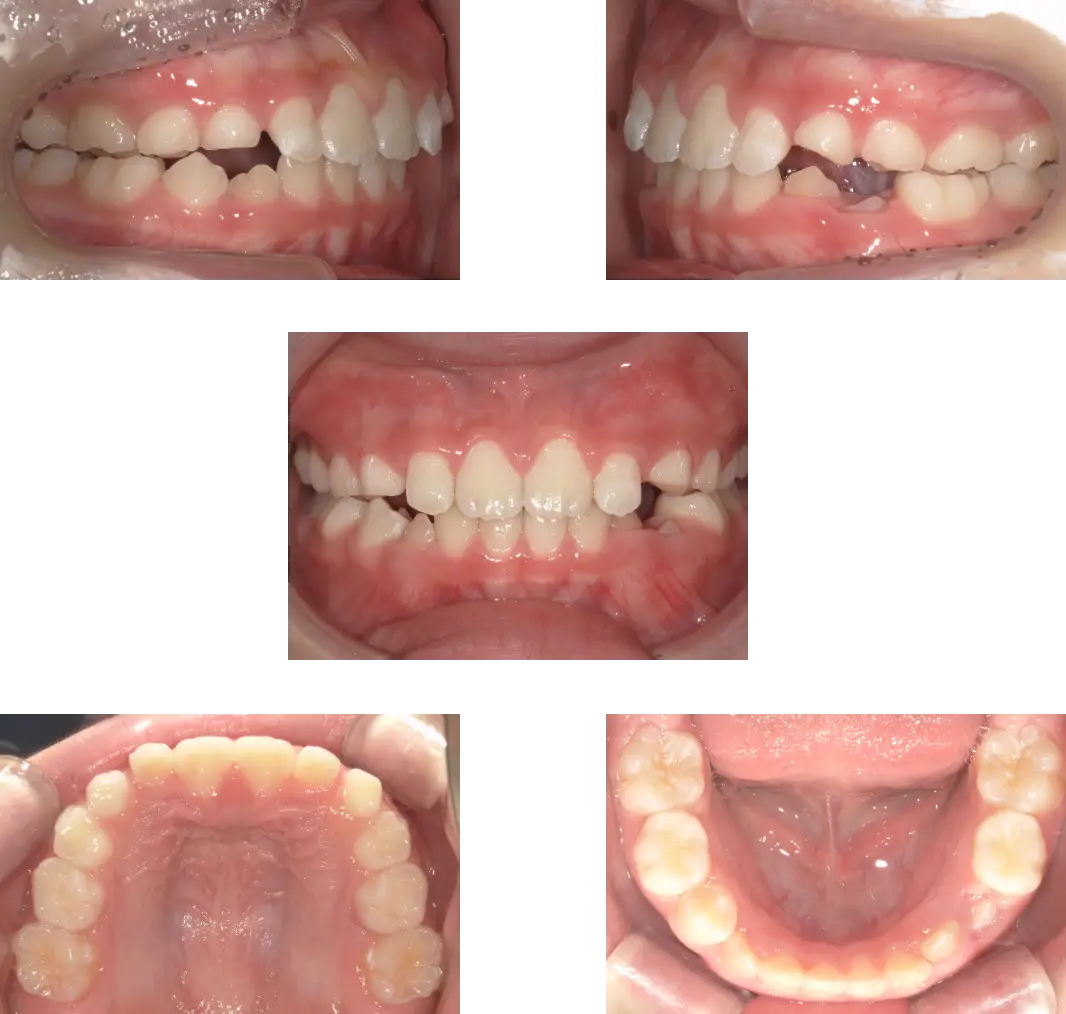
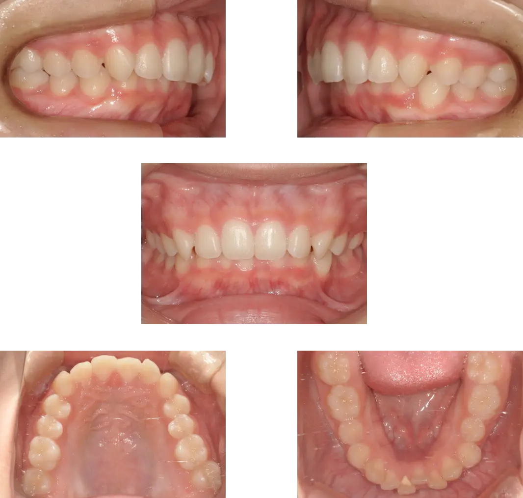
叢生 -15歳-
Before
After
- 診断
- 左側上顎犬歯低位、唇側転位
- 治療期間
- 2年+保定期間2年
- 料金
- 810,000円
- 抜歯
- あり
- リスク
- 痛み、軽度の歯根吸収、術後の変化
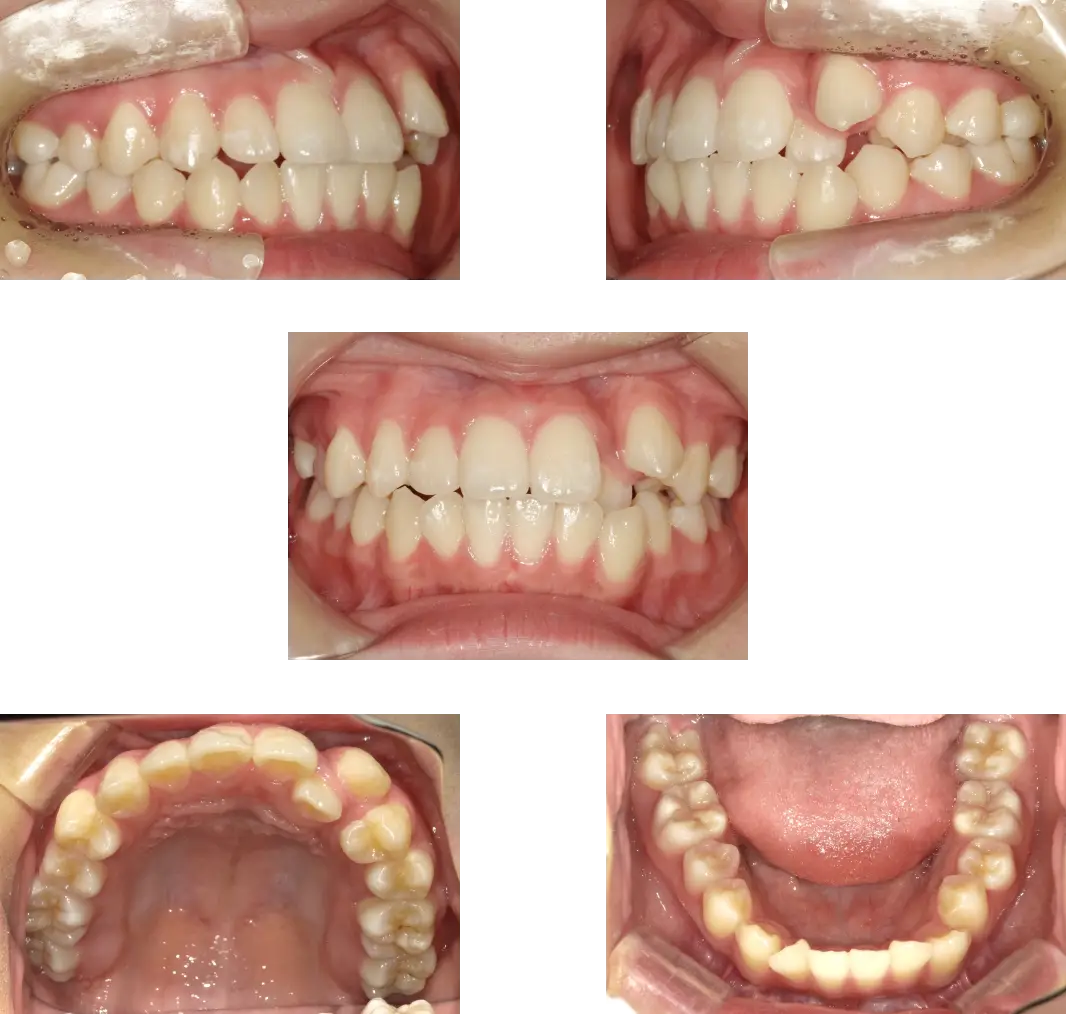
大人の治療例
インビザライン(非抜歯)の治療例
叢生 -39歳-
Before
After
- 診断
- 両側顎関節の変形
- 治療期間
- 1年6ヶ月+保定期間2年
- 料金
- 1,060,000円
- 抜歯
- なし
- リスク
- 痛み、軽度の歯根吸収、術後の変化
上顎前突 -22歳-
Before
After
- 診断
- 下顎骨後退を伴う骨格性上顎前突および開咬
- 治療期間
- 2年3ヶ月+保定期間2年
- 料金
- 950,000円
- 抜歯
- なし
- リスク
- 痛み、軽度の歯根吸収、術後の変化
抜歯を伴う治療例
上顎前突 -25歳-
Before
After
- 診断
- 叢生、上顎前突
- 治療期間
- 2年6ヶ月+保定期間2年
- 料金
- 1,176,000円
- 抜歯
- あり
- リスク
- 痛み、軽度の歯根吸収、術後の変化
ワイヤー装置の治療例
非抜歯の治療例
下顎前突 -21歳-
Before
After
- 診断
- 下顎骨の高さに左右差あり
- 治療期間
- 2年+保定期間2年
- 料金
- 950,000円
- 抜歯
- なし
- リスク
- 痛み、軽度の歯根吸収、術後の変化
抜歯を伴う治療例
上顎前突 -21歳-
Before
After
- 診断
- 叢生、上顎前突
- 治療期間
- 3年+保定期間2年
- 料金
- 1,160,000円
- 抜歯
- あり
- リスク
- 痛み、軽度の歯根吸収、術後の変化
初診のご予約はこちら!
ぜひお気軽にご相談ください
初診のご予約は、こちらの診療カレンダーにて、診療日、空いてる日時をご確認の上、「初診予約フォーム」よりいつでもお気軽にご予約下さい。また、お電話1本でもすぐにご予約を承りますので、お気軽にご連絡くださいませ。
お電話でのご予約はこちら
04-7199-8465
| 月(不定期)・火・水 | 11:00~19:00 |
|---|---|
| 金 | 10:00~18:00 |
| 土 | 9:00~18:00 |
| 月(第1週のみ診療)、 木、日 |
休診日 |