ホワイトニングWhitening

ホワイトニング

2〜3回の施術でしっかり白くなる、
オフィスホワイトニング

歯の表面に専用のジェルを塗布し、LEDライトを照射。院内でしっかりと行うホワイトニングです。

薬剤に含まれている過酸化水素が色素を分解し、ライトを当てることにより歯の表面を漂白します。

オフィスホワイトニングの特徴

  • 特徴1

    初めての方にもオススメ!歯科医院ならではのホワイトニング

    歯科医院でしか取り扱いのできない高濃度の薬剤を使用するので、市販のホワイトニングや、一般的なサロンよりもしっかりと白くなります。事前相談によりじっくりとカウンセリングも行いますので、初めての方でも安心してご利用いただけます。

  • 特徴2

    透明感のある自然な白さに

    再石灰化促進の働きにより、歯の表面がツルツルになります。さらにLEDライトでじっくりと漂白効果を高めることでツヤのある、再着色や後戻りの少ない自然な歯の白さを実現することが出来ます。

  • 特徴3

    低刺激で虫歯や歯周病の予防効果もあり

    染みや痛みを抑えて安全なホワイトニングを行います。薬剤による脱水効果で、個人差により一時的に痛みを感じることがありますが、一時的なものです。口腔内の殺菌も同時に行えるため、虫歯や歯周病の予防にも繋がります。

ホワイトニングの流れ

  • 歯の表面に薬剤をしっかり塗ります

  • 専用のLEDライトで表面を照射します

  • 薬液をしっかり落として、仕上げを行います


さらに白く

繰り返し行えばこんなに白く!

当院のホワイトニングは、1回の施術でも十分な効果を実感して頂けますが、1回目から1週間後、ご希望があれば2週間後に再度行うことでさらにしっかり白くなります。


ホームホワイトニング

自宅で行うホームホワイトニング

オーダーメイドのマウスピースを作成して、薬剤とセットでお求めいただく、ご自身のペースで好きな時間、好きな場所でホワイトニングを行うことができます。マウスピース矯正をされている方は、ホームホワイトニングを併用しておトクに行えますので、ぜひご利用ください!

また、オフィスホワイトニングと一緒に行うデュアルホワイトニングで、綺麗な歯の白さを継続的に保つことが出来ます。

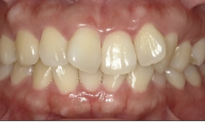
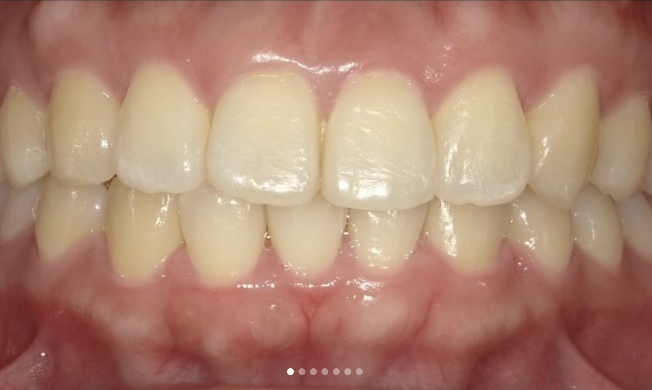
ホワイトニングの施術例

10代 男性-

  • Before

  • After

10代 女性

  • Before

  • After

初診のご予約はこちら!
ぜひお気軽にご相談ください

初診のご予約は、こちらの診療カレンダーにて、診療日、空いてる日時をご確認の上、「初診予約フォーム」よりいつでもお気軽にご予約下さい。また、お電話1本でもすぐにご予約を承りますので、お気軽にご連絡くださいませ。

初診(来院)予約 診療内容→お好きな日時→ご連絡先入力でご予約完了!

オンライン診療 オンライン診療のご利用もできます。

お電話でのご予約はこちら
04-7199-8465

月(不定期)・火・水 11:00~19:00
10:00~18:00
9:00~18:00
月(第1週のみ診療)、
木、日
休診日
トップへもどる