ワイヤー矯正装置Mousepease

ワイヤー矯正装置

さまざまな治療に対応できる固定式の装置

ワイヤー装置による矯正治療は最もよく使われているスタンダードな矯正装置で、歯ならびやかみ合わせの症例に幅広く対応できます。

歯をしっかりと安定して動かすので、治療中のトラブルや治療期間の延長、後戻りの心配も少ないです。

治療・装置のメリット

  • 歯に装置が常についているので、取り外しの手間がありません。
  • マウスピース矯正では出来ない症例でも、治療可能なケースがあります。
  • マウスピース矯正に比べ歯の移動速度が速いです。
  • 治療の段階に応じて細かな調整が可能です。
  • 目立ちにくい透明なワイヤーもございます。

デメリット

  • マウスピース矯正に比べて痛みが大きく、口内炎ができてしまうこともあります。
  • 硬いものや粘着性のものを食べたりしたときに、装置が外れてしまうことがあります。
  • 食べ物が詰まったり、汚れが溜まりやすいので虫歯になりやすいです。

装置について

治療期間中、ワイヤーをいつでも変更可能です。

当院では、透明でプラスチックのものを使用するので、一般的な装置より目立ちにくく、さらに固定するワイヤーの種類も、白色の目立ちにくいものに変更できます。ワイヤー矯正治療中は、都度払い(1本 ¥2,200)でいつでも交換可能です!

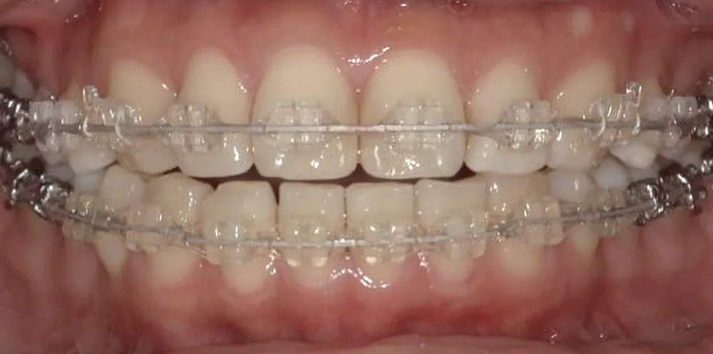
メタルワイヤー

メタルワイヤー

ブラケット(歯の表面につける装置)は透明なので、ワイヤー部分以外は目立ちにくいです。

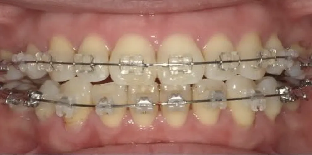
ホワイトワイヤー

ホワイトワイヤー

銀色のワイヤーを目立ちにくく白色に加工して、装置をほとんど目立たなくしたものです。

より精密な治療を行うための補助装置

  • アンカースクリュー

    インプラントアンカー(歯科矯正用アンカースクリュー)

    歯を動かすための固定源として小さなチタン製のネジを顎の骨に埋め込み、専用のゴムをかけて歯に力をかけて移動させる治療方法です。

    • 歯を動かす幅が大きくなるので、歯を抜かなくてもよくなるケースがあります。
    • ピンポイントで歯を安定して動かせるので、治療期間の短縮につながります。
    • ガミースマイル・出っ歯・受け口などの改善に効果があります。

痛みや体の負担が少ない治療方法です

骨にネジを埋め込むということで、大変な手術を想像されるかもしれませんが、インプラント治療などとは異なり、それほど大がかりなものではありません。治療が終われば除去をします。

  • 局所麻酔使用し、十分に麻酔を効かせて行うので、痛みや腫れもほとんどありません。
  • 体への負担は最小限で出血も少なく、埋め込み後の傷跡なども残りません。
  • 施術の時間は15分〜20分程度でその日のうちに短時間で終了します。

ワイヤー装置の治療例

非抜歯の治療例

下顎前突 -21歳-

  • Before

  • After

診断
下顎骨の高さに左右差あり
治療期間
2年+保定期間2年
料金
950,000円
抜歯
なし
リスク
痛み、軽度の歯根吸収、術後の変化

抜歯を伴う治療例

上顎前突 -21歳-

  • Before

  • After

診断
叢生、上顎前突
治療期間
3年+保定期間2年
料金
1,160,000円
抜歯
あり
リスク
痛み、軽度の歯根吸収、術後の変化

ブラケット矯正のよくある質問

歯ブラシが上手にできるか心配です。 開く

矯正装置を付けていますと、歯みがきはしにくいので普段以上にケアをしないと虫歯や歯槽膿漏になる危険が高くなります。矯正治療を受けるにあたり当医院では、歯みがきの方法はもちろん、治療中のメンテナンスを徹底して行っております。患者様が当院との約束事を守って協力していたければ、大きな問題が起きることはありません。

矯正器具「ブレース」の色は銀色だけですか ? 開く

「金属(メタル)タイプ」のものと「クリアタイプ」ものとがあります。クリアタイプは透明ですので殆ど目立ちません。当院では前歯部は全てクリアタイプのものを使用しています。

また、ワイヤーも当院では、ご希望の方には白い目立ちにくいワイヤー(有料)を提供しております。

初診のご予約はこちら!
ぜひお気軽にご相談ください

初診のご予約は、こちらの診療カレンダーにて、診療日、空いてる日時をご確認の上、「初診予約フォーム」よりいつでもお気軽にご予約下さい。また、お電話1本でもすぐにご予約を承りますので、お気軽にご連絡くださいませ。

初診(来院)予約 診療内容→お好きな日時→ご連絡先入力でご予約完了!

オンライン診療 オンライン診療のご利用もできます。

お電話でのご予約はこちら
04-7199-8465

月(不定期)・火・水 11:00~19:00
10:00~18:00
9:00~18:00
月(第1週のみ診療)、
木、日
休診日
トップへもどる